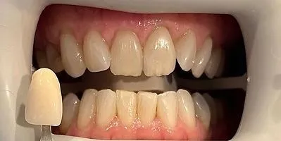
See the transformative journey of smiles at Aurora Dental Studio.
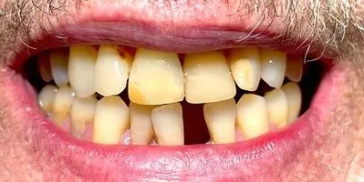
See the transformative journey of smiles at Aurora Dental Studio.
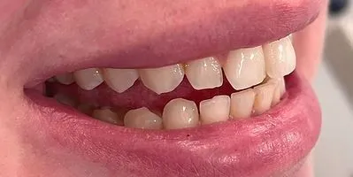
See the transformative journey of smiles at Aurora Dental Studio.
Primary Location
Monday:
9:00 am-6:00 pm
Tuesday:
9:00 am-5:00 pm
Wednesday:
9:00 am-3:00 pm
Thursday:
9:00 am-5:00 pm
Friday:
9:00 am-3:00 pm
Saturday:
8:00 am-4:00 pm
Sunday:
Closed